Patologie trattate

ATTENZIONE: Questa pagina contiene immagini che potrebbero turbare il visitatore

Malattia di Crohn

La malattia di Crohn è una patologia infiammatoria cronica dell'apparato digerente a causa ancora sconosciuta che interessa più frequentemente il tratto terminale dell'ileo e la valvola ileociecale anche se ne possono essere colpiti la bocca, lo stomaco, tutto l’ileo ed il colon. Provoca spesso la formazione di ascessi, fistole e ragadi anali che devono essere trattati in modo diverso rispetto a quelle primarie. Può associarsi a disturbi auto-immunitari a livello sistemico, come ulcere della bocca, uveiti e manifestazioni artritiche.

Colpisce soggetti di qualsiasi età ma specialmente i giovani con un picco massimo tra i venti e trent’anni.

La malattia si può complicare con comparsa di occlusione intestinale, ascessi addominali, fistole enterocutanee (tra l’intestino e la cute) o tra l’intestino ed altri organi addominali (altri tratti di intestino, vescica, utero, uretere).

La malattia di Crohn attualmente è curabile ma non guaribile per cui ogni terapia impostata deve tendere a far migliorare la situazione del paziente senza pretendere la completa scomparsa dei disturbi. Una collaborazione fattiva tra lo specialista medico (gastroenterologo) e chirurgo coloproctologo è indispensabile per impostare una terapia che vede la chirurgia solo di supporto nei casi di comparsa di complicanze non trattabili dal punto di vista conservativo. Spesso anche l’aiuto di un nutrizionista è indispensabile per riequilibrare un paziente le cui condizioni generali sono rese precarie dalla malnutrizione.

Sintomatologia

I sintomi variano in base alla localizzazione della malattia ma sono tipici i dolori crampiformi ai quadranti addominali inferiori con diarrea a volte sanguinolenta, febbricola e calo ponderale.

Quando la malattia interessa soltanto l’ileo la diarrea è di moderata gravità; se interessa il colon ed in particolare il retto l’incontinenza fecale, il tenesmo e la rettorragia sono piuttosto frequenti. Il dolore tende ad essere costante, spesso accentuato dalla peristalsi intestinale. Compaiono talvolta episodi di occlusione o subocclusione intestinale. In caso di formazione di ascessi e fistole anali i disturbi (dolore, perdite purulente, febbre) sono analoghi a quelli delle manifestazioni primarie. E’ sempre presente in modo più o meno accentuato un deficit nutrizionale, dovuto alle perdite diarroiche, che si manifesta con anemia, ipoprotidemia, edemi, demineralizzazione ossea, disidratazione e squilibri elettrolitici.

Terapia medica

La malattia è tenuta sotto controllo in una buona percentuale di casi dalla terapia medica ( mesalazina, cortisonici, immunosoppressori) la cui efficacia è nota da tempo. Farmaci più recenti come i biologici ad azione anti-TNF quali l’Infliximab e l’Adalimubab possono essere utili in casi selezionati. Tutte queste terapie vanno impostate da uno specialista che deve seguire il paziente con estrema attenzione per aggiustare o modificare la terapia a seconda dell’evoluzione della malattia.

Terapia chirurgica

Se la terapia medica non è sufficiente a controllare i sintomi o compaiono complicanze (stenosi, fistole, ascessi, perforazioni) è indispensabile il parere di un coloproctologo esperto che possa indicare il trattamento chirurgico più adatto per risolvere l’urgenza e riportare il quadro clinico in uno stato di quiescenza, è’ evidente che l’intervento varia a seconda della situazione clinica. Per questo il chirurgo deve essere un esperto della patologia dovendo valutare volta per volta l’utilità di eseguire resezioni intestinali, allargamenti di stenosi, trattamenti di fistole, resezione di altri organi addominali o deviazioni intestinali (stomie). La cautela nell’esecuzione dell’intervento è indispensabile perché è noto che nella malattia di Crohn nessuna terapia porta alla guarigione, anche se dopo la chirurgia il paziente può rimanere asintomatico per molto tempo.

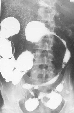
Vedi immagine

Attività diagnostica

La diagnosi si basa sull’esecuzione di esami ematici che confermino il fatto infiammatorio e su indagini strumentali (colonscopia, esofagogastroduodeno scopia, TAC addominale con mezzo di contrasto, eventuale valutazione ileale con videocapsula, ecografia transanale o RM in caso di ascessi o fistole anali).

Ritieni opportuna una nostra visita o consulenza?

Per un consulto privato contattaci al numero

(+39) 335 5951269

Dati societari


P.IVA 08916020012

Dott. Mario Trompetto


Corso Re Umberto, n°14
10015 Ivrea